Estética Dental
En la actualidad, la imagen personal juega un papel fundamental, por ello, cada vez son más los pacientes que en SINNA nos demandan tratamientos que les den una solución integral y no sólo a un problema dental concreto: quieren una sonrisa bonita, natural y saludable.


¿Qué es Estética dental?
Esta rama de la odontología se encarga de realizar tratamientos o ajustes estéticos para lucir una sonrisa ordenada, sana y armónica la cual nos dará seguridad y nos permite mejorar nuestras relaciones sociales al sonreír con tranquilidad y naturalidad.
Los tratamientos de estética dental en algunas ocasiones requieren una planificación multidisciplinaria en la que interactúan especialistas de diferentes ramas como la ortodoncia, periodoncia, operatoria dental y prótesis dependiendo del caso.
Puede ser necesario trabajar en un sólo diente o en varias piezas bucales, todo dependerá del estado inicial, para trabajar sobre la superficie de los dientes y mejorar su aspecto, podemos utilizar el contorneado estético, las carillas dentales cerámica o de resina. Pero no sólo tendremos en cuenta el color, también es importante la traslucidez, la micro geografía dentaria, la fluorescencia dentinaria, los gradientes de color, etc. Es imprescindible combinar distintos materiales para conseguir el mejor resultado.
Proceso de tratamientos de Estética
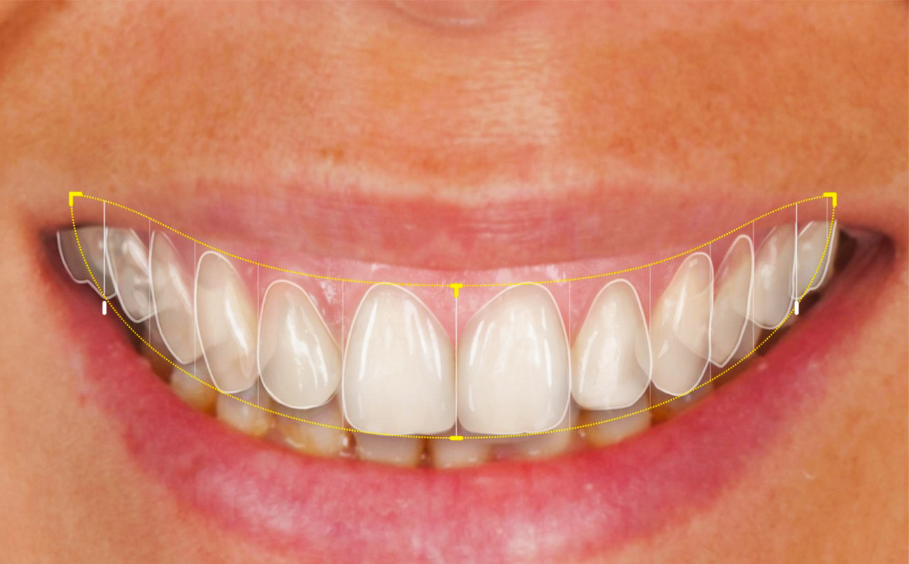
Diseño de sonrisa digital
Este es el primer paso para determinar qué ajustes o tratamientos estéticos son necesarios para conseguir una armonía en la sonrisa de nuestros pacientes. Para ello es necesario radiografías, una evaluación clínica y fotografías intra y extraorales que nos permitan traspasar los datos a un programa informático (DSD/Smilereference 2.0) para que nos permitan planificar y simular digitalmente el tratamiento al que se va a someter al paciente. Así, lo que hacemos es analizar las distintas posibilidades estéticas del paciente en cuanto a color, tamaño, forma o posición del diente desde el inicio del tratamiento, obteniendo una visión real de cómo será la sonrisa al finalizar. Luego se fabrica un biomodelo con el que podrá elaborarse un Mock-up (una simulación para probarla en el paciente, es decir, el paciente realmente puede ver los resultados antes de que comience el tratamiento).

Ejecución de tratamiento
Una vez realizado el diseño de sonrisa digital, ya se brinda un plan de tratamiento para lograr estas modificaciones, estos tratamientos pueden ser: Ortodoncia, Blanqueamiento, modificación de las encías, carillas de porcelana / resina, reconstrucción de bordes y contornos. (no necesariamente todos, la elección dependerá de tu caso en específico).

Nuestros casos de Éxito

Blanqueamiento dental

Carillas Porcelana

Carillas Porcelana

