Radiografía Panorámica Digital
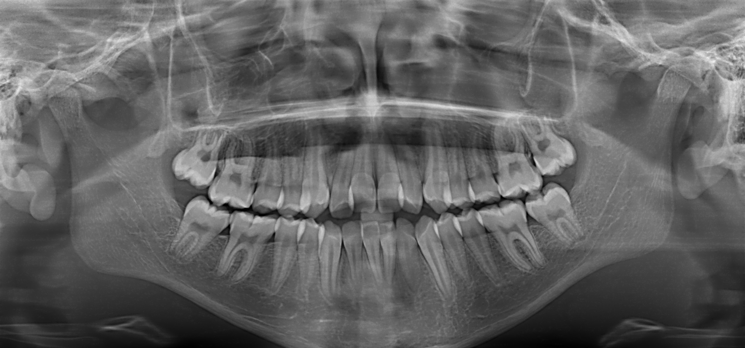
En Sinna contamos con tecnología digital de alta precisión para realizar tu radiografía panorámica, un estudio fundamental para obtener una visión completa de tu salud bucal en una sola imagen.
La radiografía panorámica permite evaluar dientes, raíces, hueso maxilar, mandíbula y articulaciones, facilitando un diagnóstico rápido, seguro y confiable para planificar tu tratamiento.

¿Qué nos permite evaluar?
- Estado general de todos los dientes (erupcionados y retenidos).
Presencia de caries profundas o infecciones.
Evaluación para ortodoncia.
Planificación de implantes dentales.
Quistes, lesiones óseas o alteraciones.
Terceras molares (muelas del juicio).

Beneficios de nuestra radiografía digital:
- Imagen de alta calidad y definición.
- Menor tiempo de exposición.
- Proceso rápido y cómodo.
- Resultados inmediatos para tu diagnóstico.
- Mayor precisión en la planificación de tratamientos.
En solo minutos obtendrás una imagen completa que permitirá a nuestro equipo brindarte un diagnóstico integral y personalizado.

